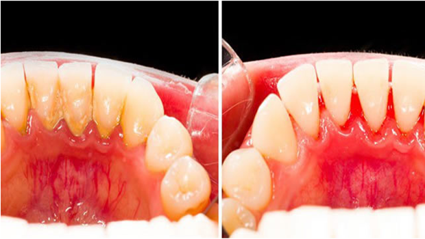
Plague is a disease that occurs because of bacteria build up that causes inflammation of the gums (gingivitis and periodontitis). Use these homemade remedies to get rid of plague forever.
Are you one of those people that hate the idea of going to the dentist? If you are, you will love these home remedies that will perform same as the dentist himself.
Plaque tends to create tartar when deposited on the teeth for a long time. Plaque is abundant if you consume mushy, soft and sticky foods rich carbohydrates( sweets, white bread , biscuits , candied fruit).
Here are the most effective home remedies to help you to get rid of plague easily in the comfort of your own home:
Recipe 1:
ingredients:
- 30 grams of walnut shell
- some water
Preparation:
According to the advice that we find on page healthyfoodstar.com, it is necessary to put the walnut shell in a pot, add water and boil it for 15 minutes. Dip the toothbrush into the resulting mixture and wash her teeth 5 minutes. Repeat this procedure three times, in a day in the morning, afternoon and evening.
Recipe 2:
ingredients:
- 4 teaspoons of sunflower seeds
- 4 teaspoons lime flower
- 1 liter of water
Preparation:
Put the ingredients in a bowl, cover with water and simmer for half an hour. Brush your teeth with this mixture after each meal.
Recipe 3:
Apple cider vinegar can also be used to remove the calculus, but only once a week. Put a little apple cider vinegar in your mouth, gargle and scrub brush your teeth. Spit. Thoroughly rinse the mouth with water to avoid damage to the enamel.
Recipe 4:
Take three tablespoons of leaves of mountain wormwood ( Artemisiaabsinthum ) then cover with four deciliter fermented wine. Make this mix and it let be covered for two hours. Then strain and brush your teeth with the liquid several times a day. You will have a beautiful and healthy smile without calculus.
Recipe 5:
Baking soda can also help to remove calculus. Put some baking soda on the moistened toothbrush and clean the calculus on your teeth. In a teaspoon of baking soda, also you add a little salt and with this combination brush your teeth.
Source: www.healthyfoodadvice.net







